free responsive website templates

Gallery

Know about us more

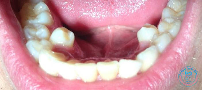
Collection of photos, here you will find the photos of doctor, services, environment and work.

Address

Swotantra Marg
Swoyambhu, Kathmandu
Nepal

Contacts

Email: dc.precious19@gmail.com                  
Phone: 9848871759
              9808314396